Volejte:
+420 727 977 167
Menu
Menu
Úvod
Náš tým
MVDr. Lukáš Rambousek
MVDr. Zuzana Šrámková
MVDr. Adéla Drdlová
MVDr. Miloslav Kanta
MVDr. Lucie Jančová
MVDr. Lenka Štěpánková
MVDr. Andrea Štusáková
Bc. Marie Slechanová
Vendula Bednaříková
Pavlína Havránková
Naše klinika
NAŠE SLUŽBY
Případy z praxe
Vybavení kliniky
Fotogalerie
Blog
Kontakt
VetVill.cz
Případy z praxe
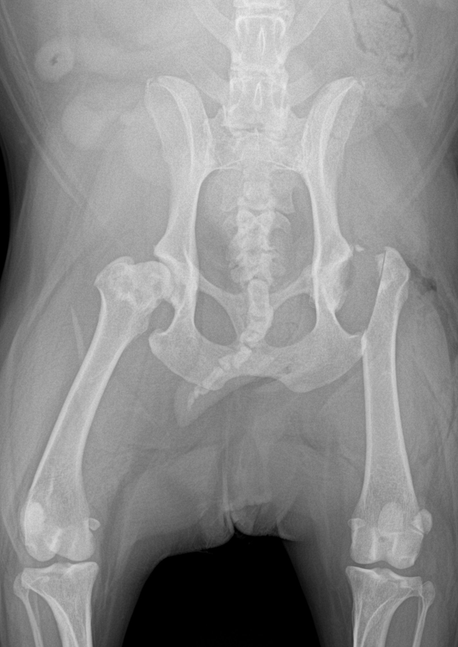
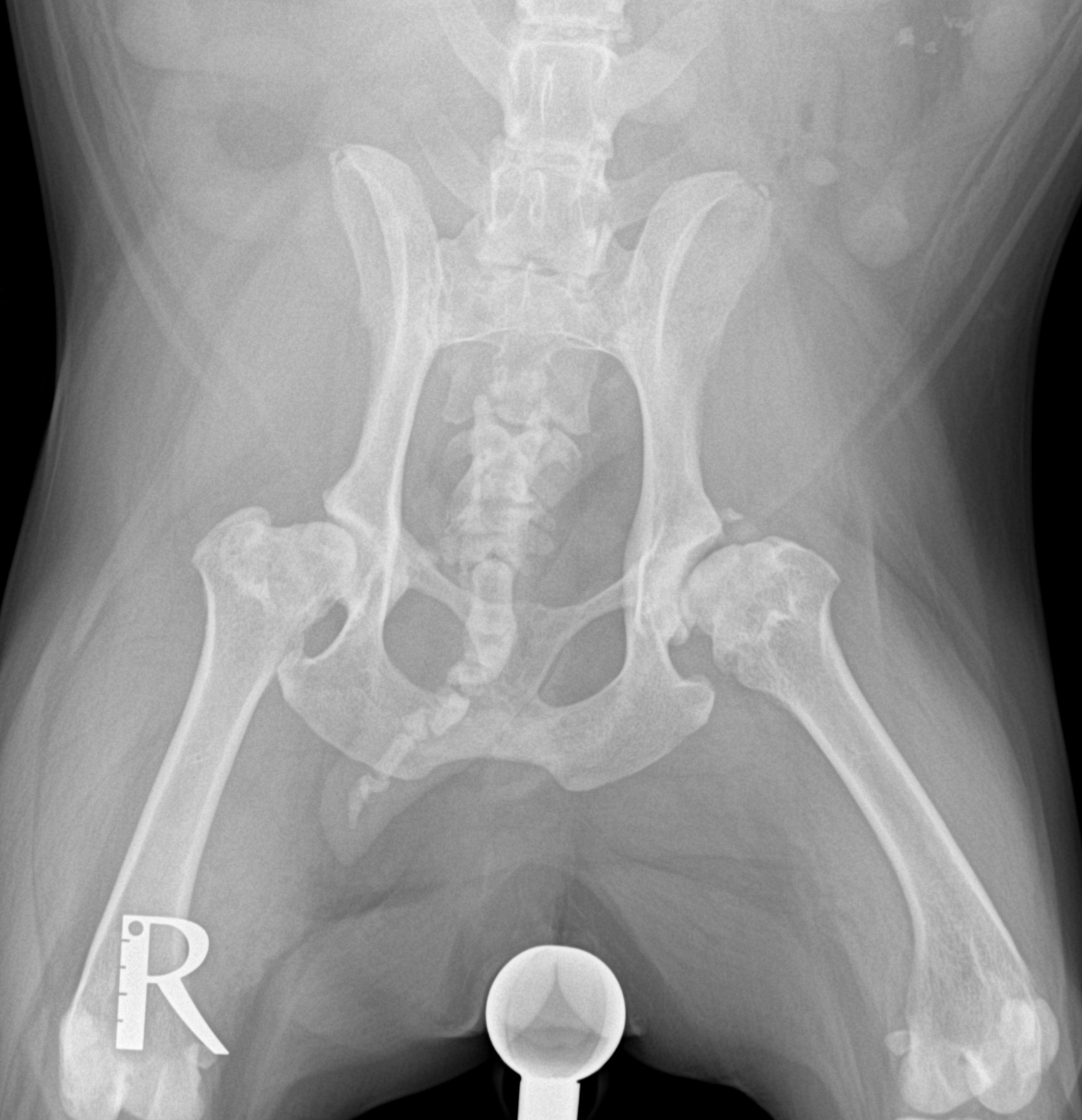
Resekce hlavice stehenní kosti při silné artróze
Resekce hlavice stehenní kosti při silné artróze
Zobrazit ordinační hodiny
Ordinujeme
Pondělí
8.00 - 18.00
Úterý
8.00 - 18.00
Středa
8.00 - 18.00
Čtvrtek
8.00 - 18.00
Pátek
8.00 - 16.00
Sobota
9.00 - 11.00
Neděle
Neordinujeme
Případy z praxe
Akutní
případ