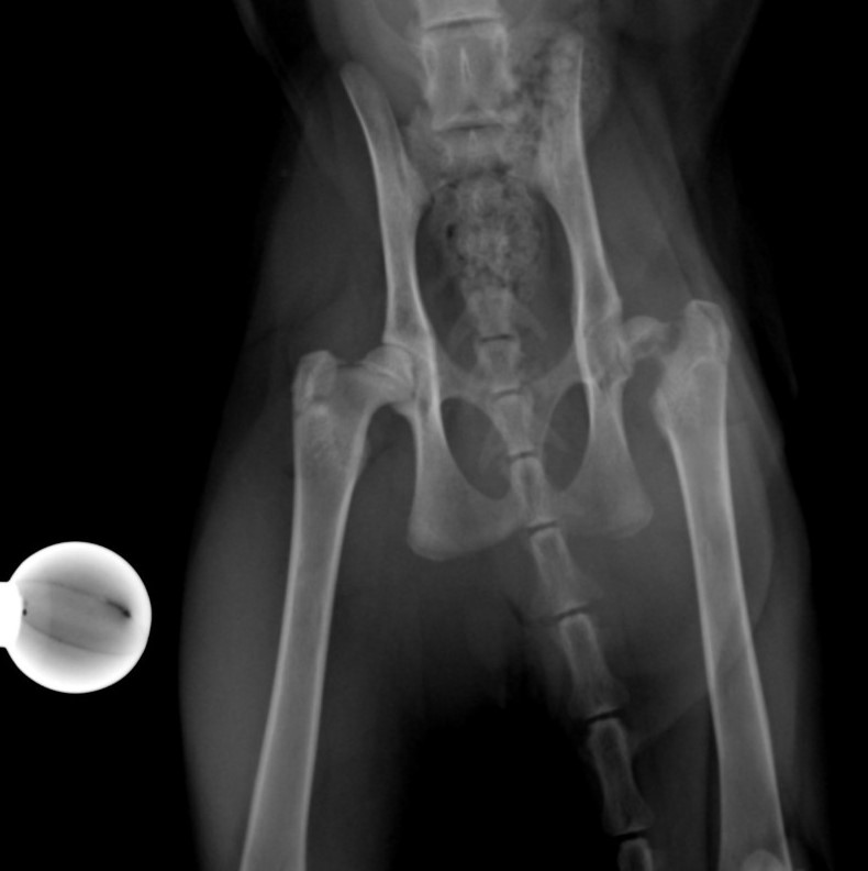
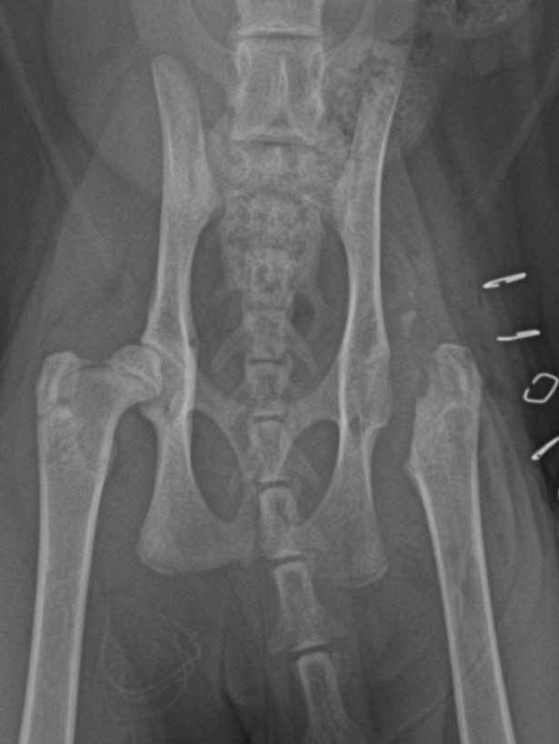
Nekróza krčku stehenní kosti u kočky - FHO

OrdinujemePOZOR ZMĚNA
Milí klienti, děkujeme, že jste byli s námi i v uplynulém roce a svěřovali nám péči o vaše čtyřnohé kamarády. Vaše důvěra nás velmi těší a motivuje nás poskytovat tu nejlepší péči. Do roku 2026 Vám přejeme spoustu radosti, zdraví a nezapomenutelných chvil se svými mazlíčky. Váš VetVill tým.

Pondělí8.00 - 18.00
Úterý8.00 - 18.00
Středa8.00 - 18.00
Čtvrtek8.00 - 18.00
Pátek8.00 - 16.00
Sobota9.00 - 11.00
NeděleNeordinujeme
Případy z praxe
Akutní
případ